Layanan Bleaching Gigi di Semarang untuk Senyum Putih Cemerlang

Di Semarang, memiliki senyum yang cerah bukan lagi sekadar impian. Sebagai klinik Cosmetic Dentist, New Smile Dental & Implant Center hadir untuk memberikan solusi transformasi estetika gigi yang aman dan efektif. Halaman ini akan membahas secara mendalam prosedur pencerahan gigi, manfaatnya bagi warga Semarang, Jawa Tengah, serta langkah-langkah medis yang kami terapkan untuk menjamin kepuasan Anda. Kami siap membantu Anda meningkatkan rasa percaya diri dengan hasil yang terlihat instan.
Ingin konsultasi langsung dengan dokter gigi kami? Hubungi kami sekarang untuk jadwal konsultasi
Membedakan Hasil Bleaching dan Whitening Gigi untuk Pasien Semarang
Banyak pasien di Semarang sering menganggap bleaching dan teeth whitening adalah prosedur yang sama, padahal keduanya memberikan hasil yang berbeda bagi senyum Anda. Di New Smile Dental & Implant Center, kami menekankan bahwa bleaching gigi adalah tindakan medis profesional menggunakan bahan Karbamid Peroksida yang mampu menembus lapisan email untuk menghilangkan noda oksidasi di dalam gigi (instrinsik). Sementara itu, teeth whitening ialah perawatan yang hanya mengangkat noda di permukaan luar gigi (ekstrinsik) tanpa mengubah warna dasar gigi secara mendalam.
Sebagai klinik gigi estetik di Semarang, kami membantu Anda mengidentifikasi penyebab gigi kuning yang sering dialami banyak orang, mulai dari konsumsi kopi berlebih hingga faktor genetik. Dengan memahami pemicunya, kami dapat memberikan metode paling efektif untuk memutihkan gigi kuning secara tepat sasaran.
Memastikan Keamanan Email Sebelum Tindakan Bleaching Gigi Dimulai
Kesehatan mulut masyarakat Semarang adalah prioritas utama kami. Sebelum prosedur dimulai, drg. Stephanie Amelia ., M.Kes akan melakukan diagnosa mendalam untuk memastikan tidak ada email gigi yang terkikis atau mengalami abrasi. Gigi yang terkikis secara struktural tidak disarankan untuk langsung menjalani proses bleaching karena dapat memicu sensitivitas ekstrem. Langkah preventif ini kami lakukan untuk menjaga integritas jaringan gigi Anda dalam jangka panjang, memastikan prosedur tetap aman tanpa risiko kerusakan permanen.
Prosedur Pencerahan Gigi yang Bertahan Lama Bagi Warga Semarang
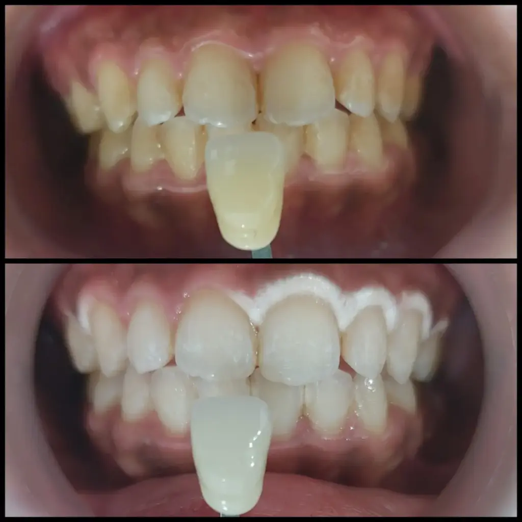
Layanan unggulan ini tersedia di klinik modern kami yang berlokasi strategis di kota Semarang. Proses pencerahan gigi di New Smile Dental & Implant Center hanya membutuhkan waktu sekitar 60 menit. Kami menggunakan teknologi aktivasi cahaya (cold light/laser) yang mempercepat reaksi bahan pemutih tanpa merusak gusi. Hasilnya, warna gigi Anda dapat meningkat beberapa tingkat lebih cerah secara instan dan tampak sangat natural, cocok bagi Anda yang memiliki jadwal padat namun tetap ingin tampil maksimal.
Mencegah Rasa Linu pada Gigi Sensitif Setelah Proses Pemutihan
Cuaca panas dan lembap di kota Semarang seringkali membuat kita ingin mengonsumsi minuman dingin, yang bisa menjadi masalah bagi pemilik gigi sensitif. Untuk itu, kami menggunakan gel desensitisasi khusus yang melapisi email selama dan sesudah proses berlangsung. Teknik ini sangat efektif untuk meminimalkan efek samping rasa linu (hypersensitivity). Dokter kami juga akan memberikan instruksi perawatan pasca-tindakan agar gusi dan gigi Anda tetap terasa sehat dan nyaman saat beraktivitas di kota Semarang.
Kunjungan Rutin ke Cosmetic Dentist di Semarang
Mempertahankan hasil estetika memerlukan verifikasi rutin di klinik Cosmetic Dentist Semarang
kami. Kami menyarankan pasien kami di daerah Gajahmungkur dan sekitarnya untuk melakukan kontrol setiap 6 bulan sekali. Verifikasi ini memastikan tidak ada penumpukan plak baru yang dapat menutupi hasil bleaching gigi Anda. Dengan peralatan diagnosa digital yang canggih, tim kami akan memantau stabilitas warna gigi Anda dan memberikan tindakan pencegahan jika diperlukan.
Berapa Lama Hasil Bleaching Gigi di Semarang Bertahan?
Hasil pemutihan gigi umumnya bertahan antara 6 hingga 12 bulan, tergantung pada pola makan dan kebersihan mulut Anda. Berikut adalah langkah menjaga putih gigi:
- Hindari konsumsi kopi, teh, dan rokok selama 24 jam pertama pasca-tindakan.
- Gunakan sedotan saat meminum cairan yang berwarna pekat.
- Lakukan pembersihan karang gigi secara rutin di klinik kami di Semarang.
- Gunakan pasta gigi non-abrasif untuk menjaga lapisan putih gigi.
- Bilas mulut dengan air putih segera setelah mengonsumsi makanan berwarna.
- Hindari merokok untuk mencegah munculnya noda nikotin baru.
Mengapa Memilih New Smile Dental & Implant Center?
- Sertifikasi Internasional: Owner sekaligus dokter kami memiliki sertifikasi resmi dalam bidang kedokteran gigi estetika dan implantologi.
- Teknologi Modern: Kami menggunakan bahan bleaching premium yang telah teruji secara klinis dan aman bagi gusi.
- Layanan Komprehensif: Sebagai pusat perawatan estetik gigi premium, kami menawarkan solusi holistik mulai dari veneer hingga rehabilitasi mulut total.
- Lokasi Strategis: Mudah diakses dari berbagai penjuru kota Semarang.
FAQ
Apakah prosedur bleaching gigi di Semarang terasa sangat sakit?
Tidak, kami menggunakan formula khusus untuk menjaga kenyamanan dan meminimalkan rasa linu.
Berapa lama proses pemutihan gigi di klinik?
Tindakan biasanya selesai dalam satu kali kunjungan dengan durasi sekitar 60 menit.
Kapan waktu terbaik melakukan bleaching sebelum acara pernikahan?
Sangat disarankan untuk melakukan tindakan minimal satu minggu sebelum acara Anda di Semarang.
Bolehkah saya langsung makan setelah bleaching gigi dilakukan?
Kami menyarankan untuk menunggu satu jam dan menghindari makanan yang sangat berwarna selama 24 jam pertama.
Hubungi Kami sekarang juga dan rasakan perawatan gigi dengan “Skill with Heart”.
Senyum indah Anda adalah prioritas utama kami.
